Periodoncia Torremolinos

Cuida tu encía y protege tu sonrisa

Tratamientos avanzados para una encía sana y sin sangrado

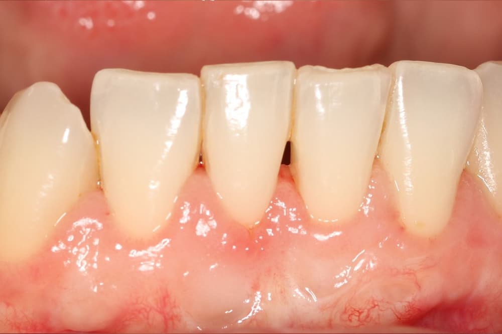
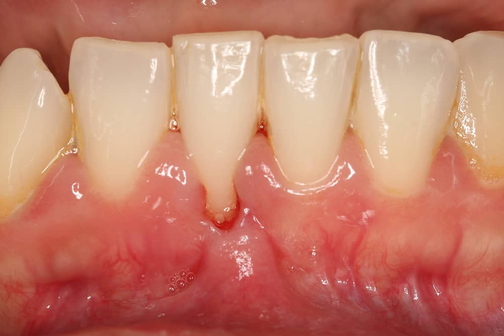
¿Notas sangrado al cepillarte, encías inflamadas o sensibilidad? Podrías estar ante una enfermedad periodontal. Tratamos las enfermedades periodontales desde sus fases iniciales hasta casos avanzados. Utilizamos la tecnología más avanzada y un enfoque totalmente personalizado para recuperar la salud de tus encías y prevenir futuros problemas.

tratamiento periodoncia avanzada torremolinos clínica dental

Especialista periodoncia Torremolinos

Resultados: encías sanas y dientes fuertes

Con nuestros tratamientos periodontales recuperarás la salud de tus encías y alargarás la vida de tus dientes.  Además, si ya has tenido periodontitis, no te dejamos solo: hacemos un seguimiento continuo con controles periódicos para que tu boca siga sana durante años.

fyp62 fyp61

Clínica periodoncia torremolinos

Tratamientos periodontales que ofrecemos

  • Diagnóstico avanzado con Sonda Florida: estudio digital completo y sin dolor del estado de encías y hueso.
  • Raspado y alisado radicular: limpieza profunda con curetas Hu-Friedy y tecnología Air Flow para eliminar sarro y bacterias debajo de la encía.
  • Cirugía mucogingival e injertos de encía: recuperamos encía perdida por ortodoncia, cepillado agresivo o mala posición dental, mediante injertos mínimamente invasivos que restauran estética y salud.
  • Diagnóstico microbiológico: identificación de bacterias responsables de la periodontitis para un tratamiento personalizado y eficaz.
periodoncia torremolinos para encías inflamadas consulta especializada
Dra. Carolina Fojo Pierini
item

Dra. Carolina Fojo Pierini

La Dra. Carolina Fojo Pierini, directora de la clínica, cuenta con más de 17 años de experiencia en cirugía oral e implantología avanzada, y es una referente en la técnica All-on-Four, siendo mentora y formadora de odontólogos que quieren dominar este tipo de rehabilitaciones completas.

Gracias a su trayectoria y al compromiso de todo el equipo, nuestra clínica ha sido reconocida como Centro de Excelencia en All-on-Four, un distintivo que avala la calidad, la experiencia clínica y los resultados de alto nivel que ofrecemos.

Tratamiento periodoncia Torremolinos

Tecnología y experiencia para tus encías

Una encía sana nunca debe sangrar; el sangrado o la inflamación son signos de gingivitis o periodontitis que requieren atención profesional inmediata. En Fojo & Pierini, cuando las encías necesitan un cuidado más profundo, intervenimos con cirugías periodontales avanzadas.

Como tu dentista en Torremolinos de referencia, realizamos tratamientos de alta precisión para limpiar zonas complicadas, regenerar hueso perdido o mejorar la estética de la encía. Todo lo hacemos con la tecnología más actual y un cuidado excepcional para que el proceso sea cómodo y seguro. Nuestro objetivo en la clínica es claro: conservar tus dientes y que tu sonrisa se mantenga fuerte y bonita toda la vida.

Porque están inflamadas, generalmente por acumulación de placa bacteriana o sarro. Es un signo de gingivitis que, sin tratamiento, puede evolucionar a periodontitis.

Es una limpieza profunda que elimina el sarro y las bacterias debajo de la encía, dejando la raíz lisa y libre de infección.

La periodontitis no se cura, pero con un buen tratamiento y mantenimiento periodontal en Torremolinos periódico en nuestra clínica dental puede controlarse y evitar que avance, manteniendo tus encías sanas.

limpieza periodontal profunda torremolinos
odontología estética y salud dental en Torremolinos
Tu nueva sonrisa, ahora más accesible

En Fojo y Pierini te ofrecemos una consulta personalizada y la posibilidad de financiar tu tratamiento hasta en 60 meses. Empieza hoy tu camino hacia una sonrisa sana y bonita, sin preocuparte por el pago.

tratamientos dentales avanzados en Torremolinos Fojo Pierini
equipo profesional Clínica Dental Fojo Pierini Torremolinos
dentista en Torremolinos Clínica Dental Fojo Pierini
Somos los dentistas más recomendados en Torremolinos

Disponemos de más de 300 m² diseñados para ti, con la última tecnología dental y tratamientos de vanguardia como carillas estéticas, All-on-4® e Invisalign®, pensados para transformar tu sonrisa con resultados naturales y duraderos.

Clínica Dental Fojo Pierini Torremolinos especialistas en salud bucal
Opiniones de pacientes
Queremos cuidar de tu sonrisa ¿cómo podemos ayudarte?