ORTODONCIA TORREMOLINOS

Tu sonrisa alineada con el tratamiento que mejor se adapte a ti

Desde la ortodoncia tradicional hasta Invisalign, la opción más discreta

La ortodoncia es ese empujoncito que a veces necesitan tus dientes para colocarse en su sitio. Si los tienes torcidos, montados, no muerdes bien o simplemente no te gusta cómo se ve tu sonrisa, este tratamiento puede marcar un antes y un después. Ofrecemos tratamientos de ortodoncia adaptados a cada paciente y necesidad.

ortodoncia torremolinos precio

Ortodoncista en Torremolinos

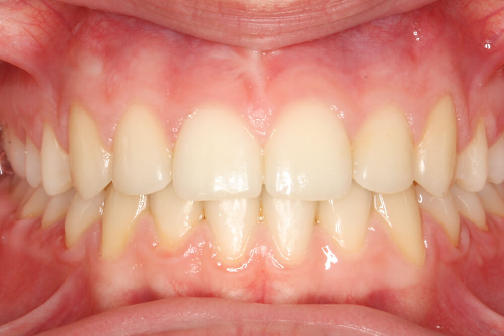
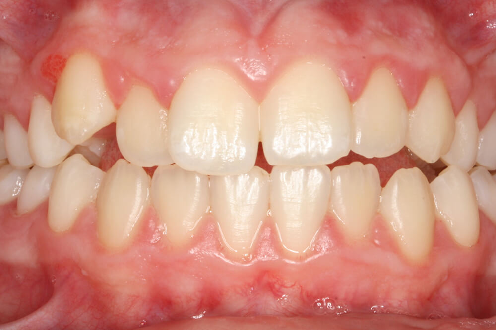
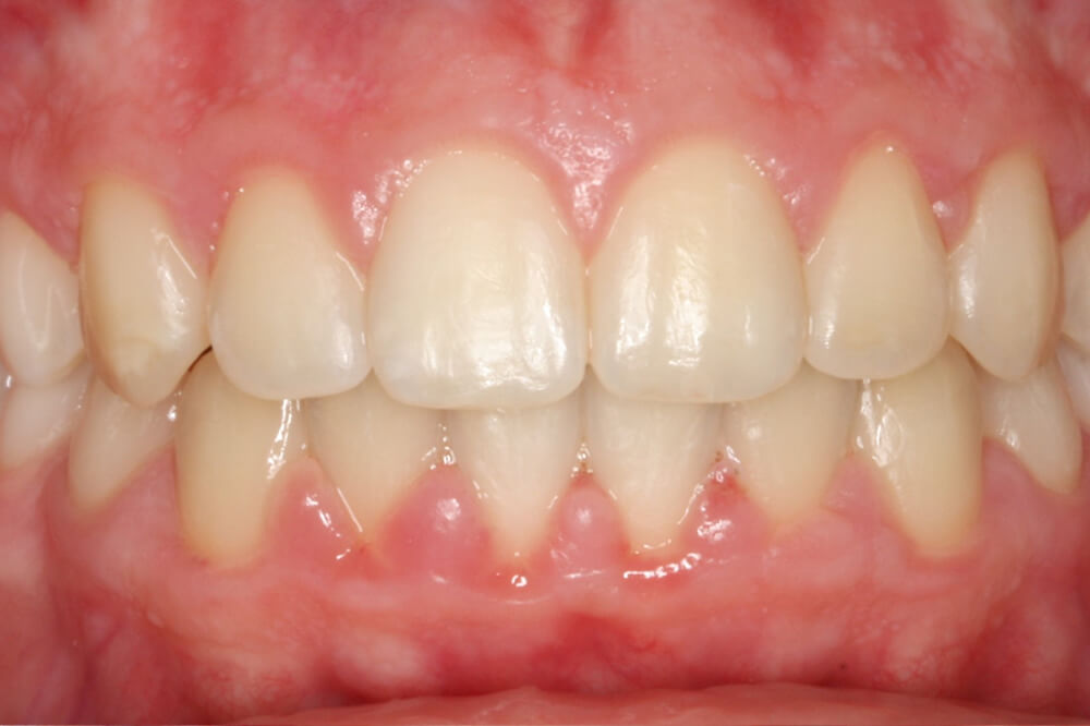
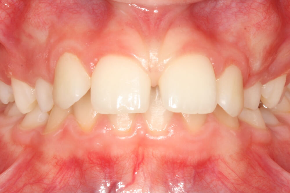
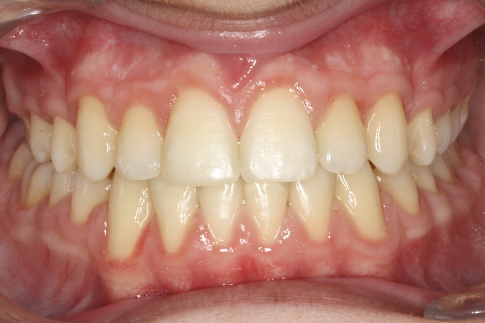
Resultados: dientes alineados y una sonrisa más bonita y funcional

Con nuestros tratamientos de ortodoncia conseguirás unos dientes alineados que mejorarán tanto la estética como la funcionalidad de tu boca. Una sonrisa ordenada no solo luce mejor, también facilita la higiene y previene problemas dentales en el futuro.

fyp43 fyp42
fyp45 fyp44
fyp47 fyp46
fyp48 fyp49

Clínica ortodoncia Torremolinos

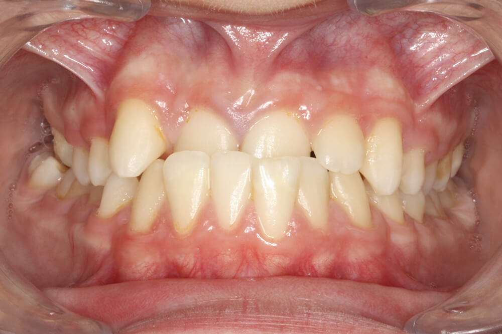
Tipos de ortodoncia que ofrecemos

  • Ortodoncia tradicional (brackets metálicos – autoligables): El tratamiento clásico para corregir malposiciones dentales, fiable y eficaz, ideal para casos más complejos y con excelentes resultados.
  • Ortodoncia estética (brackets de zafiro o cerámica): Brackets más discretos, de color similar al diente, que corrigen la sonrisa de forma eficaz sin renunciar a la estética.
  • Ortodoncia invisible (Invisalign): Alineadores transparentes y removibles diseñados a medida, que corrigen la posición de los dientes de forma cómoda, discreta y sin interferir en tu día a día.
ortodoncia infantil en torremolinos
fyp cristina
item

Dra. Cristina González Molina

Nº col. 29002482
  • Licenciada en Odontología Universidad Pública de Murcia
  • Master Oficial Universitario en Ortodoncia y Ortopedia Dentofacial con dedicación exclusiva de tres años de duración en la Universidad Pública de Oviedo.
  • Master Oficial Universitario en ATM y Dolor orofacial, Hospital Universitario Gregorio Marañón de Madrid, de dos años de duración.
  • Certificado en ortodoncia Invisible, sistema Invisalign y Ángel aligner.

Mejor ortodoncista en Torremolinos

Tu ortodoncia con garantías y resultados reales

En Fojo & Pierini trabajamos con planificación digital para garantizar resultados precisos, consolidándonos como tu dentista en Torremolinos de referencia. Contamos con un equipo de ortodoncistas especializados que te guiarán en todo el proceso; liderados por la Dra. Cristina Molina y sus más de 25 años de experiencia, nos encargamos de ofrecerte el mejor servicio de ortodoncia para adultos Torremolinos, así como soluciones para niños y adolescentes, mediante un tratamiento eficaz, personalizado y adaptado a cada etapa de la vida en nuestra clínica.

Depende de cada caso. Invisalign es ideal para quienes buscan discreción y comodidad, mientras que los brackets tradicionales son eficaces para casos más complejos.

Suele durar entre 12 y 24 meses, según la complejidad y el tipo de ortodoncia elegido.

No duele, aunque los primeros días puede haber molestias leves mientras los dientes se adaptan al movimiento.

mejor clínica ortodoncia en torremolinos
odontología estética y salud dental en Torremolinos
Tu nueva sonrisa, ahora más accesible

En Fojo y Pierini te ofrecemos una consulta personalizada y la posibilidad de financiar tu tratamiento hasta en 60 meses. Empieza hoy tu camino hacia una sonrisa sana y bonita, sin preocuparte por el pago.

tratamientos dentales avanzados en Torremolinos Fojo Pierini
equipo profesional Clínica Dental Fojo Pierini Torremolinos
dentista en Torremolinos Clínica Dental Fojo Pierini
Somos los dentistas más recomendados en Torremolinos

Disponemos de más de 300 m² diseñados para ti, con la última tecnología dental y tratamientos de vanguardia como carillas estéticas, All-on-4® e Invisalign®, pensados para transformar tu sonrisa con resultados naturales y duraderos.

Clínica Dental Fojo Pierini Torremolinos especialistas en salud bucal
Opiniones de pacientes
Queremos cuidar de tu sonrisa ¿cómo podemos ayudarte?